Czy aparat ortodontyczny powiększa usta? To pytanie nurtuje wiele osób, które noszą lub planują nosić aparat. Warto wiedzieć, że aparat ortodontyczny nie zwiększa ust bezpośrednio, ale może wpływać na ich wygląd w sposób pośredni. Zmiany te wynikają z przesuwania zębów, co może sprawić, że usta wydają się pełniejsze lub bardziej wypukłe. Ostateczny efekt jest optyczny, związany z nowym ułożeniem zębów i zmianą w układzie warg.
W początkowym okresie noszenia aparatu można odczuwać pełnię w ustach, co również przyczynia się do wrażenia większych ust. Różne rodzaje aparatów mają różny wpływ na wygląd ust, dlatego warto zrozumieć, jak aparat ortodontyczny może zmieniać nasz uśmiech i jakie są możliwe długoterminowe efekty tych zmian.
Najważniejsze informacje:
- Aparat ortodontyczny nie powiększa ust bezpośrednio, ale może wpływać na ich optyczny wygląd.
- Zmiany w kształcie ust są efektem przesuwania zębów, co może sprawić, że usta wydają się pełniejsze.
- Efekty są zazwyczaj tymczasowe i stabilizują się po zakończeniu leczenia.
- Różne typy aparatów mogą różnie wpływać na wygląd ust, np. aparat stały a Invisalign.
- Konsultacja z ortodontą przed zabiegami estetycznymi jest zalecana, aby uzyskać najlepsze rezultaty.
Czy aparat ortodontyczny powiększa usta? Wyjaśnienie efektów
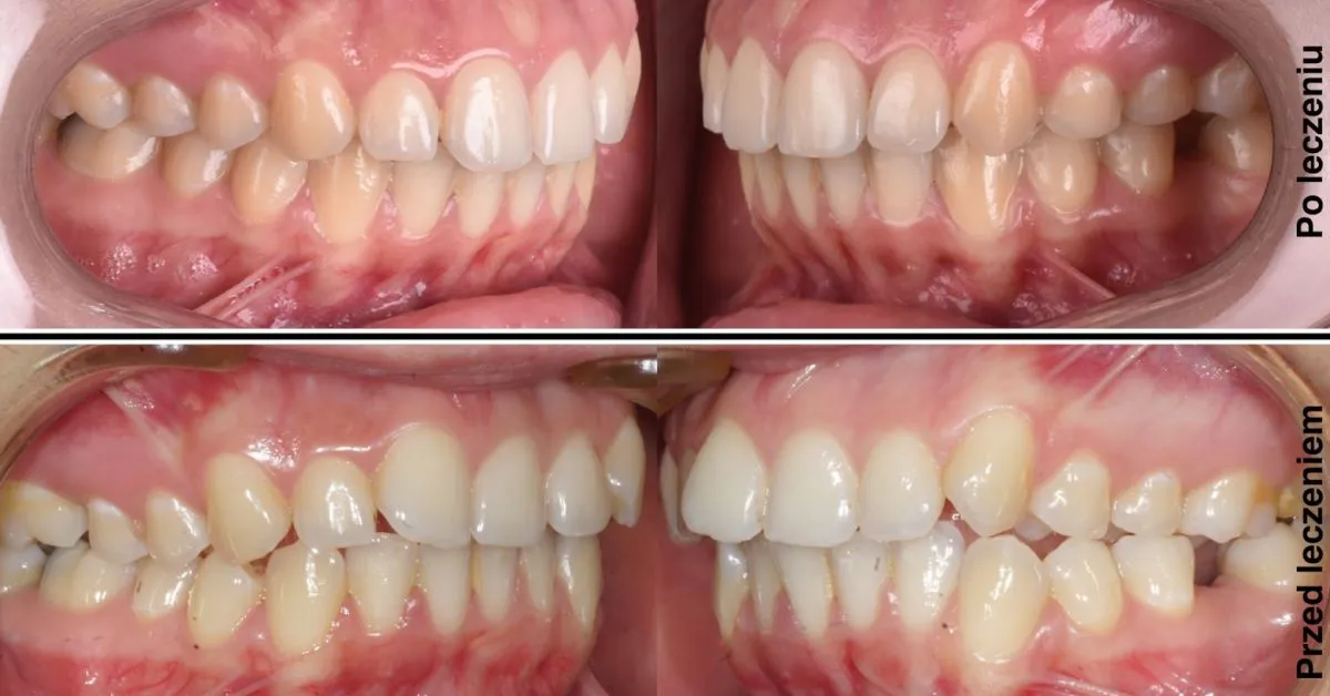
Aparat ortodontyczny nie powiększa ust bezpośrednio, ale może wpływać na ich wygląd w sposób pośredni. Zmiany te są wynikiem przesuwania zębów, co może sprawić, że usta wydają się pełniejsze lub bardziej wypukłe. Efekt ten jest optyczny i wynika z nowego ułożenia zębów oraz zmian w układzie warg, a nie z rzeczywistego zwiększenia objętości ust. W początkowym okresie noszenia aparatu niektórzy pacjenci mogą odczuwać pełnię w ustach, co dodatkowo potęguje wrażenie większych ust.
Warto zaznaczyć, że różne typy aparatów ortodontycznych mogą mieć różny wpływ na wygląd ust. Na przykład, aparat stały może delikatnie zmieniać kształt ust poprzez przesunięcie zębów, a metalowe lub ceramiczne zamki mogą wpływać na sposób, w jaki usta się zamykają. Z kolei aparat Invisalign ma minimalny wpływ na usta, ale długoterminowe efekty mogą być zauważalne po zakończeniu leczenia. Dlatego ważne jest, aby zrozumieć, jak aparat ortodontyczny może zmieniać nasz uśmiech i jakie są możliwe efekty tych zmian.
Jak działają aparaty ortodontyczne na wygląd ust?
Aparaty ortodontyczne wpływają na pozycjonowanie zębów, co z kolei oddziałuje na wygląd ust. Przesuwanie zębów w odpowiednich kierunkach może zmieniać kształt twarzy i ułatwiać zamykanie ust. Na przykład, jeśli zęby są przesuwane do przodu, usta mogą wydawać się bardziej wypukłe. Warto również zauważyć, że mechanika aparatu i jego konstrukcja mają znaczenie dla ostatecznego efektu estetycznego.
- Aparaty stałe mogą zmieniać kształt ust poprzez przesunięcie zębów i wpływ na ich układ.
- Metalowe i ceramiczne zamki mogą wpływać na sposób zamykania ust, co także oddziałuje na ich optyczny wygląd.
- Aparaty Invisalign mają minimalny wpływ na kształt ust, ale mogą prowadzić do subtelnych zmian w ich wyglądzie.
Czy zmiany w kształcie ust są trwałe czy tymczasowe?
Zmiany w kształcie ust wywołane noszeniem aparatu ortodontycznego są zwykle tymczasowe. W trakcie leczenia, przesuwanie zębów może powodować, że usta wydają się pełniejsze lub bardziej wypukłe, jednak te efekty nie są trwałe. Po zakończeniu leczenia i zdjęciu aparatu, kształt ust może wrócić do stanu sprzed terapii. Mięśnie twarzy adaptują się do nowego ułożenia zębów, co może wpłynąć na ostateczny wygląd ust.
Warto wiedzieć, że odczucia związane z pełnością ust mogą być wyraźniejsze na początku noszenia aparatu. Po pewnym czasie, gdy zęby stabilizują się, te odczucia mogą się zmniejszyć. Dlatego, jeśli zastanawiasz się, czy aparat powiększa usta, odpowiedź brzmi: zmiany są tymczasowe i zależą od etapu leczenia.
Efekty noszenia aparatu na percepcję ust
Noszenie aparatu ortodontycznego wpływa również na percepcję ust. Zmiany w ustawieniu zębów mogą tworzyć optyczną iluzję pełniejszych warg, co może być zaskakujące dla wielu pacjentów. Ostateczny efekt wizualny zależy od tego, jak aparat oddziałuje na kształt twarzy i układ ust. Warto zauważyć, że te zmiany są subiektywne i mogą różnić się w zależności od osoby.
- Rodzaj aparatu – różne aparaty mogą wpływać na wygląd ust w różny sposób.
- Pozycjonowanie zębów – ich przesunięcie może zmieniać kształt ust i ich percepcję.
- Indywidualne cechy anatomiczne – kształt twarzy i struktura ust również mają znaczenie.
Jak aparat wpływa na optyczne wrażenie pełniejszych ust?
Aparat ortodontyczny może tworzyć optyczną iluzję pełniejszych ust dzięki zmianom w położeniu zębów. Kiedy zęby są przesuwane do przodu lub zmieniają swoje ustawienie, może to powodować, że usta wydają się bardziej wypukłe. Dodatkowo, zmiany w układzie warg mogą przyczyniać się do wrażenia większej objętości ust. W początkowym okresie noszenia aparatu pacjenci często zauważają, że ich usta wyglądają na pełniejsze, co jest efektem zarówno przesunięcia zębów, jak i adaptacji mięśni twarzy do nowego układu.
Warto również zauważyć, że różne typy aparatów mogą wpływać na wygląd ust w różny sposób. Na przykład, aparat stały z metalowymi zamkami może bardziej wyraźnie zmieniać kształt ust niż aparat Invisalign, który ma minimalny wpływ na ich wygląd. Dlatego, podczas noszenia aparatu, pacjenci mogą doświadczać subiektywnych zmian w postrzeganiu swoich ust, co może być istotne dla ich pewności siebie.
Jakie inne czynniki mogą wpływać na wygląd ust podczas leczenia?
Wygląd ust podczas leczenia ortodontycznego może być wpływany przez wiele czynników zewnętrznych i wewnętrznych. Na przykład, kształt twarzy oraz struktura anatomiczna ust mają kluczowe znaczenie dla tego, jak usta się prezentują. Dodatkowo, pielęgnacja ust i nawyki higieniczne mogą również wpłynąć na ich wygląd. Używanie balsamów do ust, unikanie przesuszenia oraz odpowiednia dieta mogą poprawić ogólny stan ust.
Inne czynniki, takie jak wiek pacjenta oraz jego genetyka, również odgrywają rolę w postrzeganiu ust. Na przykład, młodsze osoby mogą mieć naturalnie bardziej elastyczne usta, co może wpływać na ich wygląd w trakcie leczenia. Zmiany hormonalne, które mogą występować w różnych etapach życia, także mogą wpływać na to, jak usta się prezentują. Dlatego ważne jest, aby być świadomym tych zmiennych podczas leczenia ortodontycznego.
- Struktura anatomiczna twarzy i ust ma kluczowe znaczenie dla ich wyglądu.
- Pielęgnacja ust, w tym nawilżanie, może poprawić ich stan.
- Genetyka i wiek pacjenta wpływają na elastyczność i wygląd ust.

Konsultacje z ortodontą przed zabiegami estetycznymi
Skonsultowanie się z ortodontą przed podjęciem jakichkolwiek zabiegów estetycznych po zakończeniu leczenia ortodontycznego jest niezwykle ważne. Specjalista pomoże ocenić, jak zmiany w położeniu zębów mogą wpłynąć na wygląd ust i jakie są najlepsze opcje estetyczne. Dzięki takiej konsultacji pacjent zyskuje pewność, że podejmowane decyzje są oparte na profesjonalnej wiedzy. Ortodonta może także doradzić, jakie zabiegi będą najbezpieczniejsze i najskuteczniejsze w kontekście indywidualnych potrzeb pacjenta. Ignorowanie tej konsultacji może prowadzić do nieprzewidywalnych efektów, które mogą wpłynąć na ostateczny wygląd ust.
Dlaczego warto porozmawiać z ortodontą przed powiększaniem ust?
Rozmowa z ortodontą przed planowanym powiększaniem ust jest kluczowa, ponieważ profesjonalna ocena stanu zębów i tkanek miękkich może znacząco wpłynąć na wybór odpowiednich zabiegów. Ortodonta może wskazać na potencjalne ryzyka związane z wstrzykiwaniem kwasu hialuronowego lub innych procedur estetycznych, zwłaszcza w kontekście wcześniejszego leczenia ortodontycznego. Dodatkowo, specjalista może pomóc w ustaleniu, czy zmiany w kształcie ust są stabilne po zakończeniu leczenia, co jest istotne dla uzyskania zadowalających rezultatów estetycznych.
- Jakie są moje opcje zabiegów estetycznych po zakończeniu leczenia?
- Czy są jakieś ryzyka związane z powiększaniem ust w moim przypadku?
- Jak długo powinienem czekać po zdjęciu aparatu, zanim zdecyduję się na zabiegi?
Jakie zabiegi estetyczne są zalecane po zdjęciu aparatu?
Po zakończeniu leczenia ortodontycznego, wiele osób rozważa zabiegi estetyczne, aby poprawić wygląd swoich ust. Jednym z najczęściej zalecanych zabiegów są wstrzyknięcia kwasu hialuronowego, które mogą dodać objętości i nawilżyć usta. Te zabiegi są zazwyczaj odpowiednie, gdy pacjent czuje, że jego usta potrzebują dodatkowej pełności lub kształtu po noszeniu aparatu. Inne opcje to zabiegi z użyciem botoksu, które mogą pomóc w wygładzeniu zmarszczek wokół ust, oraz peelingi chemiczne, które poprawiają teksturę skóry wokół ust.
Warto jednak pamiętać, że przed podjęciem decyzji o jakimkolwiek zabiegu estetycznym, należy skonsultować się z ortodontą lub specjalistą w dziedzinie medycyny estetycznej, aby uzyskać profesjonalną opinię na temat odpowiednich procedur. Dzięki temu można uniknąć nieprzewidywalnych efektów i zapewnić najlepsze rezultaty.
| Zabieg | Opis | Oczekiwany efekt |
|---|---|---|
| Wstrzyknięcia kwasu hialuronowego | Dodanie objętości i nawilżenie ust. | Pełniejsze usta, poprawa konturu. |
| Botoks | Wygładzenie zmarszczek wokół ust. | Gładka skóra, młodszy wygląd. |
| Peeling chemiczny | Poprawa tekstury skóry. | Wygładzenie i rozjaśnienie skóry wokół ust. |
Jak zadbać o usta po leczeniu ortodontycznym i zabiegach estetycznych?
Po zakończeniu leczenia ortodontycznego oraz ewentualnych zabiegach estetycznych, odpowiednia pielęgnacja ust staje się kluczowa dla utrzymania ich zdrowego wyglądu. Warto wprowadzić do swojej codziennej rutyny nawyki, które pomogą zachować nawilżenie i elastyczność warg. Stosowanie balsamów ochronnych z naturalnymi składnikami, takimi jak masło shea czy olej kokosowy, może znacząco poprawić kondycję ust. Dodatkowo, regularne stosowanie peelingów do ust, które usuwają martwy naskórek, pozwoli uzyskać gładką i miękką powierzchnię.
W przyszłości można również rozważyć nowoczesne techniki regeneracyjne, takie jak terapia komórkami macierzystymi, które mogą wspierać proces gojenia i przyspieszać regenerację tkanek w okolicy ust. Takie innowacyjne podejścia mogą przynieść jeszcze lepsze efekty estetyczne i zdrowotne, dlatego warto być na bieżąco z nowinkami w dziedzinie medycyny estetycznej oraz ortodoncji. Współpraca z doświadczonym specjalistą pozwoli na dostosowanie odpowiedniej pielęgnacji oraz zabiegów do indywidualnych potrzeb pacjenta.






